Western partners with European universities to advance neurotechnology education and research
By
Crystal Mackay ,Western News , May 13, 2026
NeurotechEU alliance will open doors to expanded research collaborations and student training
Western approves 2026-27 university budget
Western Communications, April 30, 2026 , May 01, 2026
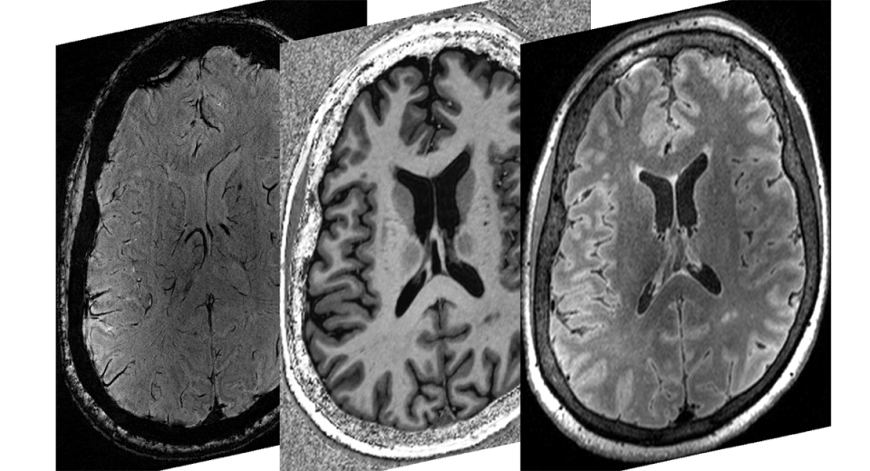
CFMM is grateful for the $16 million commitment by Western allowing us to acquire a new whole-body 7T high-field magnetic resonance imaging scanner (MRI), which produces ultrafine image resolution, is the latest in cutting-edge equipment to enhance Western’s leadership in neuroimaging research. This 7T scanner will offer up to 10 times higher resolution than standard 3T MRIs to detect microstructural abnormalities in the brain and throughout the body.
Where diffusion MRI is headed next: How new applications are shaping acquisition strategies?
skope , March 31, 2026
Dr. Corey Baron from the University of Western Ontario works to improve the understanding and diagnosis of neurological diseases. His lab focuses on developing and applying novel diffusion MRI techniques that probe tissue microstructure changes present in many pathologies, in addition to providing insight into the structure and function of the brain.
CFMM welcomes MP Peter Fragiskatos
March 05, 2026

Dr. Ravi Menon always loves to share the impact of the CFMM! Today we had the honour of welcoming MP Peter Fragiskatos to see our 15.2T and 9.4T scanners and talk about some of the incredible work being done here. Showcasing how NFRF funded, collaborative Canadian research is accelerating new therapies for brain diseases like Alzheimer’s and Parkinson’s.
CFMM Welcomes Western Vice-President Karen Bertrand
March 04, 2026
'Superagers' reveal how to stay sharp as you get older
By
Amina Zafar ,CBC , January 17, 2026
Research is revealing 3 key factors to help people live independently and for longer
Signal in the silence: Western researchers uncover hidden potential in discarded MRI data
By
Emily Leighton ,Western News , November 13, 2025
A new technique is transforming how scientists use fMRI to study the brain
Western study reveals brain’s predictive power
By
Jeff Renaud ,Western News , November 05, 2025
Schulich Medicine & Dentistry professor and Canada Research Chair Andrew Pruszynski and his collaborators have found the brain doesn’t just respond to physical obstacles – it plans for them. Their study in the journal Nature shows motor circuits anticipate disruptions to help the body respond faster and more accurately, paving the way for advances in stroke rehabilitation and brain-computer interfaces.
All in – a grand collaboration for Canada and the world
September 26, 2025

CFMM, one of Western's Core Facilities, is featured in Western University's new "All in" campaign that dropped today. See if you can spot us several times in the campaign video and on the new All in webpage.
Researchers show knee surgery can slow osteoarthritis
By
London Health Sciences Centre Research Institute ,Western News , July 29, 2025
Clinical trial led by London Health Sciences Centre Research Institute with MRI completed at Centre for Functional and Metabolic Mapping (CFMM), Western highlights potential of high tibial osteotomy
Western researchers launch brain imaging platform with $2.9M boost from Brain Canada
By
Emily Leighton ,Western News , June 23, 2025
High-resolution images provide ‘unprecedented detail’ for study of brain structure & activity
Introducing the Inaugural cohort Institutional Core Research Facilities
By
Western Research ,Research Notes , May 01, 2025
INN Welcomes Dr. Ravi Menon to its Advisory Committee
INN News , March 20, 2025
The Institute for Neuroscience and Neurotechnology (INN) is proud to announce the appointment of Dr. Ravi Menon to its Advisory Committee. A globally recognized expert in medical imaging and neuroscience, Dr. Menon brings a wealth of experience and leadership to the Institute’s vision of an integrative approach to supporting brain resilience that is comprehensive, individualized, and accessible for all Canadians.
Brain imaging technique discovered by Western researchers drives AI audiovisual analysis
By
Jeff Renaud ,Western News , March 18, 2025
A new 4D imaging technique devised by PhD student Yu (Brandon) Hu and computer science professor Yalda Mohsenzadeh shows how the brain processes multi-sensory audiovisual information.
Two new Canada Research Chairs named at Western, four renewed
By
Keri Ferguson ,Western News , March 14, 2025
Corey Baron, CFMM Core Scientist, renewed as Canada Research Chair - Tier 2 CRC in Diffusion Magnetic Resonance Imaging
Sport Related Concussion Symptoms Still Present One Year Later Researchers Find
By
Reported by Katherine Ward, Global News ,Global News , March 13, 2025
A new study out of Ontario about recovery from sports-related concussions.
Western-led study shows promise for treating core symptom of frontotemporal dementia
By
Cynthia Fazio ,Western News , January 23, 2025
Largest trial in frontotemporal dementia patients finds oxytocin can improve apathy symptoms
Western-led analysis shows potential in new Alzheimer’s treatment
By
Cynthia Fazio ,Western News , May 24, 2024
Results from first human clinical trial offer promising early results
Canada’s most powerful MRI system arrives at Western
By
Emily Leightonl ,Western News , November 24, 2023The 15.2 tesla pre-clinical scanner enables researchers to study the brain with unprecedented resolution.
Western to revolutionize drug development for brain diseases with $24M federal funding boost
By
By Prabhjot Sohal , April 26, 2023
Led by Schulich School of Medicine & Dentistry Professor Ravi Menon, a team of researchers has developed a groundbreaking approach to identify promising therapies for diseases, such as Alzheimer's and Parkinson’s and speed up their journey to market.
Western researchers develop new open-source app for precise brain mapping
January 12, 2023

HippUnfold, a web-based tool, uses artificial intelligence to iron out the complex hippocampus for imaging
2022 Anne Martin-Matthews Prize
November 29, 2022

Each year the Canadian Institutes of Health Research of Aging recognizes the highest-ranked doctoral trainee in the field of aging from the CIHR open doctoral competition with the CIHR-IA Anne Martin-Matthews prize of Excellence in Research on Aging. This year the recipient is CFMM, Dr. Robert Bartha Lab member Dana Broberg.
‘Really angry’: Why Canadians with long COVID struggle to access financial aid
July 20, 2022

As more Canadians with long COVID try to apply for insurance and government disability support, many are encountering the same hurdles that have long been familiar to residents with chronic fatigue syndrome
How far can we push MRI to characterize tissue microscopic properties
June 07, 2022

Corey Baron, PhD, Canada Research Chair (Tier 2) in Diffusion Magnetic Resonance Imaging, is developing imaging biomarkers for ultra-high field MRI to learn more about the brain and improve disease diagnosis.
New research targets faster diagnosis for Parkinson’s patients
May 10, 2022

Dr. Penny MacDonald, a movement disorders neurologist and professor in neurology at Western University, recently teamed up with McGill University professor Dr. Alain Dagher, and Ali Khan, professor in the department of medical biophysics and medical imaging at Western.
Finding treatments for brain diseases
April 08, 2022
Western neuroscientists and neurologists are combining efforts to develop more efficient ways to test the effectiveness of medication for neurodegenerative diseases – the leading cause of disability in Canada.
Neuroscience experts unlock mystery of autism-related anxiety
March 31, 2022
Western neuroscientists and neurologists are combining efforts to develop more efficient ways to test the effectiveness of medication for neurodegenerative diseases – the leading cause of disability in Canada.
Funding: CIHR announces Project Grant recipients
February 23, 2022
The Canadian Institutes of Health Research (CIHR) have announced more than $7.7 million in research funding through their project grants competition for 10 projects at the Schulich School of Medicine & Dentistry.
Research: Study examines new forms of treatment for those suffering from post-traumatic stress disorder
February 01, 2022

Post traumatic stress disorder (PTSD) is a condition that often develops in those who have experienced a traumatic event. PTSD affects close to 10 per cent of Canadians, and in some cases, can be difficult to treat.
Researcher Profile: Naila Rahman
December 15, 2021

Naila is a PhD Candidate in Dr. Corey Barons lab. She has gotten in involved the CFMM and Robarts Research community and we are proud of all She has accomplished!
Can we develop better brain imaging for precision medicine?
November 29, 2021

Ali Khan, PhD, Canada Research Chair (Tier 2) in Computational Neuroimaging, is developing new computational techniques to better analyze and assess images of the brain, with the goal of improving diagnostic accuracy and surgical interventions.
Researcher Profile: Alicia Cronin
August 31, 2021
Alicia is a PhD Candidate in Dr. Rob Bartha's lab. She has gotten in involved the CFMM and Robarts Research community and we are proud of all She has accomplished!
Unfolding the hippocampus
July 26, 2021

A new technique developed at Western University to visually iron out the wrinkles and folds in one region of the brain may provide researchers a more accurate picture to understand brain disorders.
London, Ont., team researching COVID-19 impacts on brain zero in on ‘microbleeds’
March 18, 2021
Experts in brain imaging, cognitive neurology, infectious disease and other fields based in London, Ont., are working together to use an ultra-high-field MRI scanner to try to find out whether “microbleeds” play a role in COVID-19’s impacts on the brain.
Loss of taste and smell from COVID-19 has researchers looking at other impacts on the brain
By
Jordyn Read , March 17, 2021Researchers have been observing the potential long-term impacts COVID-19 can have on a person's health.
Researcher Profile: Justine Clery
March 15, 2021

As our first researcher profile we have chosen Justine Clery. Justine is a research scientist working with Stefan Everling and Ravi Menons labs. She has gotten in involved the CFMM community and we are proud of all She has accomplished!
$2.85M to help scientists better collaborate in their quest to understand the brain
February 25, 2021
Brain Canada is pleased to announce the awarding of its first 2019 Platform Support Grant (PSG) to Dr. Ravi Menon and his team at the Centre for Functional and Metabolic Mapping (CFMM) at Western University’s Robarts Research Institute. This funding will support Canada’s only collection of high-field and ultra-high field MRI systems, tools which will help neuroscientists better understand the brain in health, and in illness. Brain Canada will announce eight additional PSG grants in the coming weeks, as part of a more than $25 million investment in brain research.
Study pinpoints role of language disruptions in psychosis
February 18, 2021

Like a small airport trying to handle too much air traffic, parts of the brain not meant to process language are trying to perform this complex job in patients with psychosis.
Radiofrequency coil for routine ultra‐high‐field imaging with an unobstructed visual field
NMR in Biomedicine , December 11, 2020This study presents a 7 T head coil, with eight transmit dipoles and 32 receive loops, that is designed to remove visual obstructions from the subject's line of sight, allowing for an unencumbered view of visual stimuli, the reduction of anxiety induced from small enclosures, and the potential for eye‐tracking measurements.
Even a mild contact in sport can have impacts on the brain, study finds
June 19, 2020

When you think of the risks contact sports could have on the brain, the first thought is concussions. Although, yes, concussions can have life-long impacts, what about athletes who play contact sports but don’t ever sustain a concussion? “As far as a neurologist or a sports medicine doc, looking at these people, they seem perfectly normal," says Ravi Menon, a professor at the Schulich School of Medicine and Dentistry.
Altered Resting-State Functional Connectivity Between Awake and Isoflurane Anesthetized Marmosets
By
Yuki Hori , June 18, 2020
The common marmoset (Callithrix jacchus) is a New World primate that is becoming increasingly popular as a preclinical model. To assess functional connectivity (FC) across the marmoset brain, resting-state functional MRI (RS-fMRI) is often performed under isoflurane anesthesia to avoid the effects of motion, physiological stress, and training requirements.
Concussion study at Western University finds minor, repetitive hits change brains
June 17, 2020

It isn’t just major concussive blows but a series minor hits that can cause changes in athletes’ brains, a new study by Western University researchers says. Even mild, repetitive hits to the head can cause subtle changes to the brains of otherwise healthy, symptom-free athletes, researchers say in a new study published online in the medical journal of the American Academy of Neurology.
Longitudinal changes of brain microstructure and function in nonconcussed female rugby players
Green Journal , June 16, 2020
Our objective was to longitudinally assess brain microstructure and function in female varsity athletes participating in contact and noncontact sports.
COVID-19 Research Recovery - June 01
June 02, 2020
As the university and individual faculties roll out their Back to Work plans, I wanted to update everyone on the operational status of the CFMM Imaging Core and procedural guidelines as we move through the various phases of research recovery. During the past several weeks, while in Phase 1, the CFMM has been working at both the faculty and institutional level to ensure that research operations may resume safely and efficiently in the upcoming weeks/months.
COVID-19 update March 19th
March 19, 2020
I wanted to take the opportunity to reach out and update everyone on the CFMM’s response to the COVID-19 situation. Regarding the most recent recommendations by Lawson and Western along with the office of the VPR concerning research activities, the CFMM has moved to a required service model and has ramped down (stopped) all non-essential research. At this time we feel that we cannot assure the safety of our volunteers, colleagues and staff as social distances cannot be maintained in the MRI environment.
COVID-19 update
March 13, 2020
I wanted to take the opportunity to reach out and update everyone on the CFMM’s response to the COVID-19 situation. Over the past several weeks our staff have put in place precautionary measures to minimize the risk of transmission by ensuring surfaces of the MRI equipment and peripheral devices are cleaned and sanitized between subject use.
Researcher Profile: David Schaeffer
February 11, 2020

As our first researcher profile we have chosen David Schaeffer. David is a research scientist working with Stefan Everling and Ravi Menons labs. he has gotten in involved the CFMM community and we are proud of all he has accomplished!
Research points to early detection for Alzheimer’s disease
January 20, 2020

By looking specifically at an area of the brain responsible for remembering past personal experiences, the research team was able to show specific changes even during the earliest phases of memory loss in patients.
Ravi Menon with Medical Biophysics
November 06, 2019
Ravi Menon has been a pioneer in the use of MRI for structural and functional brain imaging. From the landmark demonstration and further development of functional MRI, to pioneering the use of ultra-high field MRI techniques for use in neuroscience and patient care, the groundbreaking neuroscience and neuroimaging advances developed by Menon are used in thousands of universities, research institutes, hospitals around the world today.
Funding: Ontario Research Fund supports early researchers and infrastructure at Western
October 17, 2019

Ali Khan is a Core Scientist at CFMM. We are very proud that he got the Research Grant With the Ontario Research Fund.
Student Profile: Dickson Wong
October 04, 2019
As our first student of the month profile we have chosen Dickson Wong. Dickson is a Student who just defended his dissertation for his PhD. He has been heavily involved with projects here at CFMM and we are proud of all he has accomplished!
Ravi Menon Named to Royal Society of Canada
September 11, 2019

Ravi Menon has been a pioneer in the use of MRI for structural and functional brain imaging. From the landmark demonstration and further development of functional MRI, to pioneering the use of ultra-high field MRI techniques for use in neuroscience and patient care, the groundbreaking neuroscience and neuroimaging advances developed by Menon are used in thousands of universities, research institutes, hospitals and pharma around the world today.
Congratulations to Olivia Stanley and Jason Kai
August 01, 2019

Olivia Stanley and Jason Kai have both been awarded with the CONP student Scholar program. This gives both students continued funds to expand their research interests. Olivia is supervised by Ravi Menon and Jason is supervised by Ali Khan, both of whom are CFMM Core Scientists.
Science Minister names seven Canada Research Chairs at Western
November 15, 2018

Canada Research Chairs (CRCs) highlight world-changing science and innovation. Seven Western researchers are newly named, or newly renewed, Canada Research Chairs. Western will be home to three new Canada Research Chairs whose work will have global impact on earthquake disaster preparedness; psychology and brain science; and neuroimaging to help people with epilepsy.
Parkinson Society 2018 Scholarship winner
November 07, 2018

Parkinson Society Southwestern Ontario Graduate Student Scholarship Program is a strategic initiative to encourage young scientists to enter the field of Parkinson’s research and to invest in research and training that offers promise for future work in the area of Parkinson’s Disease...
Raising funds for concussion research to safeguard athletes’ futures
November 06, 2018

A few weeks ago, Mr. Gilby, who works at Lerners LLP in London, Ont., reached out to fellow personal injury lawyers in the city and suggested they organize a dinner to raise money for the Robarts Research Institute at the University of Western Ontario, which is doing groundbreaking research into the effects concussions have on the brain.
7T maintenance – replacing the gradient coil
October 31, 2018

Our 7T scanner recently had a new gradient coil installed so we wanted to show you what happened...this was the delivery of the installation equipment and new AC84 Gradient coil...The NEW AC84! We received 2 day delivery from Erlangen to London...Joe and Martyn discuss installation details with our installation expert. You will see the old gradient coil with Joe...
Western University contributes to the first open-source NHP imaging database
September 28, 2018

BrainsCAN-aligned researchers have collaborated with an international team of researchers to develop the world’s first open-source data sets of non-human primate (NHP) brain imaging. Published in the prestigious journal Neuron, the PRIMatE Data Exchange (PRIME-DE) is the first open science resource for the neuroimaging community that aims to...
Understanding and Treating the ‘Sacred Disease’
September 27, 2018
Epilepsy was first described in Babylonian texts more than 3,000 years ago. The ancient Greeks called it the ‘sacred disease,’ associating the disorder with the divine. The ancient Romans believed it to be contagious and called sufferers lunaticus, or moonstruck. During the Middle Ages, it was known as the falling sickness.
From concussion awareness to action at See the Line
September 14, 2018
This year, the See the Line initiative expanded to two days. Highlights included the announcement of the successful completion of the NHLPA Challenge, which raised $3.125 million to support the future of concussion research. The 2-18 event also included the addition of the Scientific Workshop to bring together researchers to address animal modelling of concussion.
BrainsCAN Accelerator Internal Granting Program
September 06, 2018
We are excited to be offering this internal funding opportunity arising from the Canada First Research Excellence Fund (CFREF) supported BrainsCAN Initiative. The Accelerator Program is purposefully designed to push the limits of cognitive neuroscience and transform its landscape by supporting high-risk/high-reward research programs that could not be funded through traditional channels...
Science Minister names seven Canada Research Chairs at Western
September 06, 2018
Canada Research Chairs (CRCs) highlight world-changing science and innovation. Seven Western researchers are newly named, or newly renewed, Canada Research Chairs. Western will be home to three new Canada Research Chairs whose work will have global impact on earthquake disaster preparedness; psychology and brain science; and neuroimaging to help people with epilepsy.
NHL players and community contribute millions to concussion research at Western
August 28, 2018
Researchers at Western University have received $3.125 million to continue their studies on concussions and their effects on athletes. The funding comes thanks to donations from the community and the NHL Players Association, and will be used to support brain trauma experts at Schulich Medicine & Dentistry and Robarts Research Institute.
Eric Lindros keeps pushing as local concussion research get $3M boost
August 28, 2018
The London-based battle against concussions received a major infusion of funds Thursday. Western University announced $3.125 million in funding will be going to researchers at Western’s Schulich School of Medicine and Dentistry for research into concussions. The money comes from the completion of the National Hockey League Players’ Association (NHLPA) challenge, which began six years ago with the NHLPA’s $500,000 initial gift challenging the community to build on it to reach the $3.125 million figure.
Time to remove the body contact from hockey: Lindros
August 16, 2018
A power forward who blended strength and skill like no other before him or since, he built a Hall of Fame career on playing physically. But after a series of concussions forced him to retire from the NHL in 2007, the 45-year-old has a different view on how the game should be played. Speaking at See The Light, a concussion symposium at Western University on Thursday, Lindros said it’s time for the NHL to seriously think about removing body contact from the game.
Congratulations - Student Awards
July 26, 2018
Please join us in congratulating some of the graduate students who use our facility who have recently received awards. First, Stephanie Cullen, our first year MSc. candidate who has been with our lab as an undergraduate volunteer since 2016, was awarded the 2018-2019 Alzheimer Society London and Middlesex Master’s Scholarship. The project submitted is in collaboration with Michael Borrie using gait and cognitive assessments in the memory clinic...
Lindros to Western grads: ‘Never stop trying to be great’
July 10, 2018
It was to the Forest City where Eric Lindros – the hockey star who received an honorary doctor of laws degree Monday during Western University’s 311th convocation – retreated during the National Hockey League lockout of 1994. With 12 other NHL players who were also in limbo, Lindros kept his hockey skills sharp by practising with Western’s varsity team...
Corey Baron receives Petro-Canada Young Innovator
July 10, 2018
Congratulations to Robarts scientist Corey Baron, PhD, on receiving a 2018 Petro-Canada Young Innovator Award. Baron, an assistant professor with the Department of Medical Biophysics, is developing multidimensional imaging biomarkers for ultra-high field magnetic resonance imaging (MRI) to learn more about the brain. He is specifically looking at new diffusion MRI techniques to better detect and characterize microscopic changes in the brain associated with neurological disorders...
Western study rules out one treatment pathway for Alzheimer's
July 06, 2018
A Western University study is ruling out one possible treatment pathway in the push to develop drugs for Alzheimer’s disease and dementia – a move that might steer future research in a different direction. A new study by Western physiology and pharmacology professor Stefan Everling and his collaborators Susheel Vijayraghavan and Alex Major is offering up some valuable information that might help researchers develop better memory-boosting drugs...
New BrainsCAN study rules out major potential target for Alzheimer’s disease drugs
July 05, 2018
An unexpected result discovered by neuroscientists at Western University won’t prevent the formation and growth of Alzheimer’s disease but it potentially rules out a major potential treatment focus that drug manufacturers – and researchers around the world – have been targeting for years in the fight against the debilitating disease.
Brain folds key to diagnosing psychosis early, Western study finds
April 25, 2018
The brain’s outer folds and ridges can be a road map for researchers trying to diagnose which patients are at the highest risk of psychosis later in life, a new Western University study says. By analyzing brain scans of at-risk patients, researchers have been able to predict which ones will develop psychosis with more than 80 per cent accuracy. The new development will make it easier for researchers to examine young people before they get sick and identify which ones are most likely to develop psychosis.
Concussion-Like Brain Changes Evident from a Regular Season of Rugby Play
February 02, 2018
By studying the metabolite levels in the brains of female varsity rugby players using MRI, researchers suggest that a regular season of play could cause changes in the brain that are similar to those caused by a concussion, though less severe. The researchers, from University of Western Ontario, used sophisticated Magnetic Resonance Imaging (MRI) to study the female players’ brains at the beginning of the season, after experiencing a concussion, and again at the end of the season.
BrainsCAN’s Research Study makes it into Westerns time capsule!
January 23, 2018
Recently retweeted by BrainsCAN Scientific Director Dr. Ravi Menon, @Brains_CAN’s first research summary just found its way into @WesterU’s time capsule for 2018 – won’t b seen again until 2068. Yes, we know it’s a unique approach to knowledge mobilization – fortunately, not the only thing we have planned! @DFREF_APOGEE
9.4T upgrades. Exciting changes at CFMM
January 23, 2018
CFMM is saying Hello to a brand new Bruker console in the 9.4T suite. Installation has begun. Here are a few highlight photos. Below you will find a photo of Joe Gati posing with the brand new Bruker console intended for our 9.4T suite. We are very excited and should have the upgrades fully completed and the new and improved 9.4T ready to go very soon.
Game Changing Research – CTV News video
January 23, 2018
If you’re playing a contact sport but don’t suffer a concussion that doesn’t necessarily mean your in the clear. Watch the CTV News video here: https://www.ctvnews.ca/videoclipId=1026681&playlistId=1.3216386&binId=1.811527&playlistPageNum=1&binPageNum=1
Rugby study shows metabolite changes in the brain
January 17, 2018
Researchers at Robarts Research Institute have shown that a regular season of play can cause changes in the brain that are similar to changes caused by concussion, though less severe. Using sophisticated Magnetic Resonance Spectroscopy the researchers looked at metabolite levels in the brains of female varsity rugby players at the beginning of their season, after suffering a concussion, and again at the end of the season.
Science Minister Kirsty Duncan and London North Centre MP Peter Fragiskatos visit the CFMM
January 11, 2018

Canada’s Minister of Science Kirsty Duncan visited Western University earlier this month, meeting with scientists and trainees at Robarts. She toured the Translational Cognitive Neuroscience Lab and the Centre for Functional and Metabolic Mapping, and also met with the co-chairs of the Inspiring Young Women in STEM Conference...“The Science Minister was hugely enthusiastic about the work that is being done at Western,” said Robarts scientist Lisa Saksida, PhD, Tier 1 CRC and Co-Scientific Director of BrainsCAN...
Groundbreaking research paves way to AAAS Fellowship for Western scientist
By
Schulich Medicine & Dentistry Communications ,Special to Western News , May 14, 2026Dr. Robyn Klein has been elected to the American Association for the Advancement of Science class of Fellows for her neuroscience research.
